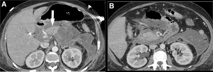
Paciente con pancreatitis aguda. En Tomografía Axial Computerizada (TAC) realizada a las 72 horas de ingreso se aprecia una necrosis del 50% del páncreas. A la 3ª semana de ingreso el paciente comienza con fiebre elevada y leucocitosis. Se solicita radiografía de tórax urgente y sedimento urinario, siendo ambos normales. Señale el siguiente paso a seguir:
Este caso ya ha sido resuelto, puedes comentar o ver el resultado pulsando en el botón:

La respuesta correcta es la 1 aunque las últimas recomendaciones sobre el manejo de la pancreatitis aguda grave desaconsejan la PAAF por el riesgo de infección del necrosis estéril. El manejo actual se rige por el tratamiento escalonado. En la situación descrita en la pregunta el tratamiento actual es comenzar con antibióticos y valorar respuesta.
Para más aclaraciones : https://www.dropbox.com/s/k7vmohieez6f47p/articulos_pancreatitis%20recomendaciones2012%5B1%5D.pdf
Este comentario ha sido eliminado por un administrador del blog.
ResponderEliminar